MENU
新規会員登録・ログイン
トップページ 感染症・感染管理/インフェクションコントロール 【連載】寄生虫からひもとく風土病探訪記「第11回 肝臓の巨大腫瘤」

第11回 肝臓の巨大腫瘤

*本連載は2019年1月号~12月号の本誌連載の再掲載記事になります。

*本記事の無断引用・転載を禁じます。



患者の特徴

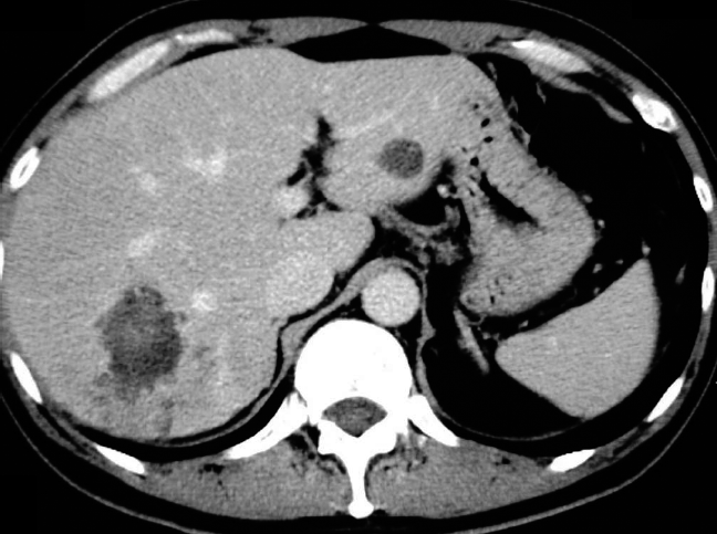
52歳男性。5年前から続く右側腹部痛が悪化し受診。CTで巨大な肝腫瘤(図1)を認め、切除した。その後聴取すると、北海道に居住歴がある。

図1 図1 本症例における腹部造影CT

さてこの寄生虫は…?

◎エキノコックス

 エキノコックス症はエキノコックス属条虫の幼虫(包虫)に起因する疾患で、成虫はキツネやイヌの消化管に寄生する小さな条虫である。糞便中に排出された虫卵が中間宿主の野ネズミに取り込まれることにより生活環が回る。キツネ、イヌの虫卵を偶発的にヒトが経口摂取することにより、肝臓や肺、腎臓、脳などで包虫が発育し、エキノコックス症が発生する。有効な薬剤はなく、完治するためには外科的切除しかない。

北海道におけるエキノコックス症対策

 現在国内で問題となっているのは多包条虫であり、そのほとんどが北海道での感染事例である。北海道ではどのようなエキノコックス症対策が行われているのか、北海道立衛生研究所の八木欣平先生にお話を伺った。

動物への対策

 動物媒介感染症のコントロールには、「動物への対策」と「ヒトへの対策」の両者が必要となる。終宿主がイヌ、キツネなどの食肉目の動物で、中間宿主がげっ歯類であることは以前より分かっていたが、どの種が媒介の主体となるか、実際の感染率について、北海 道立衛生研究が中心となり感染実験やキツネの剖検調査が行われてきた。その結果、キツネの感染率はおおよそ30〜40%であること(図2)、イヌも終宿主となり得ること、ネズミのなかでもエゾヤチネズミが重要な中間宿主であることなどが分かった。現在はこうした情報をもとに、人が多く集まる場所への駆虫薬入り餌(ベイト)散布、獣医に対してイヌの飼育方法の指導や、イヌへの駆虫薬投与の啓発活動が行われている。

ヒトへの対策

 ヒトへの対策では、パンフレットの配布やポスターの掲示などで住民への注意喚起を行ってきた。また血液診断法が開発され、北海道では行政的にエキノコックス症の健康診断が行われている。具体的には各市町村が小学3年生以上の希望者を対象に血清検査を実施、血清検査が陽性または疑陽性であった人を中心に北海道が2次検診を行う流れができている。年間数万人を検査するなか、新規感染者数が20人前後にとどまることは、取り組みにより感染リスクを低下させたことを示している(図2)。ただし、近年検診受診者が減少しつつあり、住民のエキノコックスに対する関心が薄れていることを危惧すると八木先生は語る。
 媒介動物は地域で異なるため、感染症コントロールにはその地域の動物生態情報が必須である。この情報をいかに生かすかが、私たちに与えられた課題であろう。エキノコックスを完全に撲滅することは容易ではなく、ヒトへの感染リスクを下げること、住民のエキノコックスに対する注意意識を保たせることが今後の活動の鍵となることを学んだ。

図2 図2 北海道の患者数とキツネ感染率

(国立感染症研究所(IASR Vol. 40 p43-45:2019年3月号)




インフェクションコントロール34巻11号表紙

⇧最新情報は こちら から